Give the gift of dental health this christmas…


For Restore
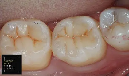
Composite Fillings
At Square Mile Dental Centre, our range of cosmetic and restorative treatment options includes composite fillings. Designed to fit in with the rest of the mouth as seamlessly as possible, these fillings offer a tooth-coloured alternative to traditional amalgam fillings. We can use composite fillings to repair teeth in the same way as we would amalgam fillings. This means that teeth suffering from damage or decay such as a cavity / carie, fissure or crack can be mended and restored with these fillings.
Receiving a composite filling couldn’t be simpler. They can be applied in just one appointment, during which we’ll first numb the area being treated before we remove the decayed and damaged parts of the tooth. Then, we’ll clean the tooth before placing the composite filling so that you can leave the practice with a fully restored and functional tooth.
At a Glance
Treatment Time
Result
Downtime
Longevity
Frequently Asked Questions
- Is this Treatment permanent?
-
Composite fillings do not last forever and will require replacement after 12-15 years due to natural wear and tear. Luckily, they are very easy to replace should they become loose, fall out, or damaged in some way.
- Can you replace amalgam fillings with composite fillings?
-
Yes, amalgam fillings can be replaced with composite fillings although every patient is different, and we will have to undertake a consultation and assessment to be sure you’re a good fit for the treatment. Some patients choose to replace their amalgam fillings for purely aesthetic reasons, while others choose to do so for health concerns – such as mercury. Amalgam fillings can also leak or become faulty, therefore requiring replacement.
- What are the fillings made of?
-
Most composite fillings are made of a resin material that is durable and strong while also mimicking the shade and surface of the natural tooth very accurately.
- Can the fillings be whitened?
-
No, composite fillings remain unaffected by whitening products, so we always recommend undertaking teeth whitening treatment first, if that’s something you’re interested in.
Before & After Gallery






Visit us
The Highest Quality
It’s not just our patients who realise our distinction. We also have recognition from a number of awarding bodies.










