Give the gift of dental health this christmas…


For Restore
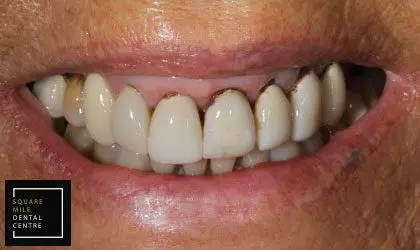
Crowns
Dentistry has come a long way and with modern science and the latest materials, most teeth can be restored using composite restorations. Having said this however, there are still certain circumstances when we need to consider a different option. Crown and onlay / partial crown procedures involve preparing the tooth and covering it with a ceramic restoration. This is usually colour-matched to blend in with your surrounding teeth, and works to restore the functioning and aesthetic appearance of broken-down teeth.
At Square Mile Dental Centre our patients feel assured knowing that at our practice, we will do all of our crown preparations under magnification. This helps to keep the treatment as minimally invasive as possible.
Our dental technicians are highly trained and experienced, and ensure that each treatment is carried out safely and effectively, which ensures the best outcome possible for the patient. Our exacting methods are coupled with using the best ceramic materials to give the patient a long-lasting and aesthetically pleasing result.
At a Glance
Treatment Time
Result
Downtime
Longevity
Frequently Asked Questions
- What are the risks associated with this procedure?
-
Some people may experience increased sensitivity following the fitting of a crown, but this usually subsides within a couple of weeks.
- What are the follow up or aftercare procedures?
-
The most important aftercare for a crown is to maintain good dental hygiene following the procedure, ensuring the health and strength of your new smile. Our expert team will advise you on how best to care for your new tooth.
- Will it hurt?
-
The use of anaesthetic means that the procedure should not be painful. There may be some mild discomfort in the following days but this should resolve quickly.
- Am I a good candidate for a crown?
-
When you visit Square Mile Dental Centre we will carry out a full and thorough dental assessment. This will help us to identify your dental issues, from which we can advise if a crown is the best option to restore your tooth.

Price from £1200 per tooth
funding your treatment
If you have any questions about funding your treatment Square Mile Dental can help.


Before & After Gallery








Visit us
The Highest Quality
It’s not just our patients who realise our distinction. We also have recognition from a number of awarding bodies.










