Please view some amazing patient results after a visit at Square Mile Dental. Select the category below of interest.
Smile Gallery
Categories
Bridges



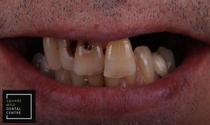
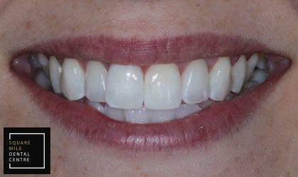
Patient already has two bridges present which are unaesthetic and the incorrect shape and sizes

Two dental bridges replaced for a more aesthetically please result
Composite Bonding


Crowns








Dental Implants











This patient had an implant placed elsewhere and she wanted to correct the cosmetic look

The implant was replaced for a better design and colour in keeping with the rest of the natural smile
Dentures


Full Arch Implants


Orthodontics


Invisalign




Teeth Whitening






Porcelain Veneers





Gaps in between two front teeth, small lateral incisors and narrow smile. Patient also wants to give teeth a squarer appearance.

10 porcelain veneers places to improve symmetry and overall colour of teeth


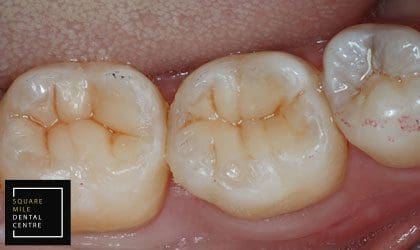
Composite Fillings






Visit us
The Highest Quality
It’s not just our patients who realise our distinction. We also have recognition from a number of awarding bodies.










